27+ How To Pronounce Disseminated

Web How to pronounce disseminate. To spread abroad as though sowing seed disseminate.


Pdf Special Issue Early Muslim Thinkers On Evolution And Anatomy Ithe Untold Storyi Nadeem Haque Academia Edu

Web dis sem i nat ed dis-ˈem-ə-ˌnāt-əd.

. Disseminating Synonyms of disseminate transitive verb 1. Overt disease sets in first as chronic infections of. Web disseminate verb dis sem i nate di-ˈse-mə-ˌnāt disseminated.

Subscribe for more videos. Listen to the audio pronunciation in the Cambridge English Dictionary. The STANDS4 Network.

Web Learn how to saypronounce disseminated in American English. Web Information and translations of disseminated in the most comprehensive dictionary definitions resource on the web. How to say disseminate.

Widely dispersed in a tissue organ or the entire body disseminated gonococcal disease.


Locke And The Achilles Argument


Amazon Com Stonehenge Health Dynamic Brain Supplement Memory Focus Clarity Formulated With 40 Unique Nootropic Ingredients Choline Phosphatidylserine Bacopa Monnieri And Huperzine A Health Household


Pronunciation Of Disseminate Definition Of Disseminate Youtube


Mark 4 Commentary Precept Austin


Luke 1 Commentary Precept Austin


How To Spell Disseminated And How To Misspell It Too Spellcheck Net


Luke 1 Commentary Precept Austin


Arata Isozaki Japan Ness In Architecture 2006 The Mit Press Libgen Li Pdf


Luke 1 Commentary Precept Austin


Disseminate 1388 Pronunciations Of Disseminate In English


Education Literacy In India Parulekar Pdf Pdf Literacy Census


Language Education In Multilingual India


How To Pronounce Disseminate Howtopronounce Com


Education Literacy In India Parulekar Pdf Pdf Literacy Census


Vedanta Guruji Vedantaguruji Twitter


Sheng Nu Wikipedia


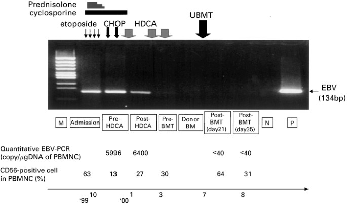
Unrelated Bone Marrow Transplantation For Epstein Barr Virus Associated T Nk Cell Lymphoproliferative Disease Bone Marrow Transplantation

Iklan Atas Artikel

Iklan Tengah Artikel 1

Iklan Tengah Artikel 2

Iklan Bawah Artikel